カメの診療
リクガメの寄生虫治療
リクガメは飼育下でも寄生虫感染が比較的多く、特に野草・生野菜を与える環境ではリスクが高まります。
よく見られる寄生虫
線虫類(Ascarids, Oxyurids など)
消化管に寄生し、軟便・体重減少・元気消失の原因となる。

鞭虫・鉤虫
貧血や下痢を引き起こすことがある。
原虫類(コクシジウム、フラジェラート類)
下痢や発育不良。幼体で重症化しやすい。
ダニ・マダニ類(外部寄生虫)
皮膚炎や貧血の原因。
診断
1. 糞便検査(直接法・浮遊法):虫卵やオーシストの検出
2. 顕微鏡観察:原虫の確認
3. 臨床症状との組み合わせで判断
治療
薬剤は必ず獣医師の診断のもと、種・体重に応じた投与が必要です。過量投与は中毒や死亡のリスクがあります。
• 駆虫薬(線虫・鉤虫・鞭虫)
・フェンベンダゾール(Fenbendazole)
・アルベンダゾール(Albendazole)
・パモ酸ピランテル(Pyrantel pamoate)
• コクシジウムなど原虫
・スルファ剤(Sulfadimethoxine など)
・Toltrazuril(トルトラズリル)
• 外部寄生虫
・イベルメクチンは種類により毒性が強く、カメでは禁忌とされる場合あり。
・セラメクチン(Revolution®)が一部で応用されることもあるが、獣医師の判断必須。
予防と管理
• 新しく迎えた個体は検疫を行い、便検査で寄生虫の有無を確認。
• 飼育環境(床材・餌入れ・水入れ)の定期的な清掃消毒。
• 野草や野外の昆虫は寄生虫リスクを伴うため注意。
• 定期的な糞便検査(年1〜2回)で早期発見。

リクガメにおける Ascarids(回虫類)


概要
• Ascarids(回虫類) は爬虫類の消化管に寄生する線虫の一群。
• リクガメでは Testudo 属(ギリシャリクガメ、ヘルマンリクガメなど)やアカアシリクガメ でよく報告されます。
• 感染は 経口(虫卵の摂取) によって起こり、飼育環境の汚染が大きなリスク要因。
症状
• 軽度感染では無症状のことも多い。
• 重度感染では:
o 食欲不振、体重減少
o 軟便・下痢
o 腸閉塞(大量感染時)
o 成長不良や免疫低下
診断
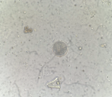
• 糞便検査(浮遊法) で特有の厚い殻をもつ卵を検出。
• 高度感染例では 糞便中に成虫が排出されることもある。
治療
※ 薬剤投与は必ず獣医師の診断と監督下で行う必要があります。
• フェンベンダゾール(Fenbendazole)
o 20–50 mg/kg PO、1回投与し、2週間後に再投与。
o 高用量で毒性報告があるため注意。
• パモ酸ピランテル(Pyrantel pamoate)
o 5–10 mg/kg PO、必要に応じて2週間後に再投与。
o 比較的安全でよく使われる。
• 重度感染時には死滅した虫体による 腸閉塞リスク があるため、投薬スケジュールを分割することもある。
予防
• 飼育環境(床材・餌入れ・水入れ)の 定期的な清掃と消毒。
• 定期糞便検査(少なくとも年1回)。
• 野草や地面に直接触れた野菜の給与は寄生虫卵の混入リスク。
食道造瘻チューブesophagostomy tubes (e-tubes)
爬虫類の消化速度は、食事、般的な健康状態、体温、水分補給に依存します。衰弱した爬虫類に栄養補給を提供することはクリティカルケア(救命救急)の重要な要素で、長期の食欲不振は爬虫類によく見られる主訴です。
病気や食欲不振のカメ類の治療には、効果的な治療、エネルギーバランスの維持、栄養状態の改善、体液損失の補充のために、経口薬と経管栄養が必要になることがよくあります。
カメ類に投与するのは非常に難しい場合があります。硬い給餌チューブを繰り返し使用すると、口腔咽頭と食道に損傷が生じる可能性があり、衰弱した患者に多大なストレスを与えます。
食道造瘻チューブの外科的設置は、食欲不振や慢性疾患に苦しむカメ類の治療とリハビリテーションに効果的なツールであり、獣医スタッフと飼い主の両方が最小限の介入で経口薬と流動食を投与できるようになります。 食道造瘻チューブは、動物が自発的に摂食を再開するか、経口薬が不要になるまで、そのままにしておくことができ 食道造設チューブ (e-チューブ) を使用すると、カメやリクガメに経口薬や緊急治療栄養を投与しながら、繰り返しの硬性胃管栄養に伴うストレスや食道外傷のリスクを最小限に抑えることができます。食道造設チューブはカメ類にとって耐容性が高く、チューブを入れたままでも患者は通常通り食事をとることができます。患者は外来で投薬と給餌を受けることができ、完全に回復したら、e-チューブは簡単に取り外すことができます。
採血
症例
カメの卵づまり

カメの甲羅の修復 例1




カメの甲羅の修復 例2


甲羅の修復 例3

